2024版深圳医顺教育临床实践技能过关宝典勘误汇总表
发布时间:2024-05-07 09:31:40
亲爱的同学们:
为方便大家及时弄懂学习考点,帮助大家学习,我们会将临床实践技能过关宝典勘误及时更新汇总在本页面,大家可随时打开此页面查看,请同学们互相转告!
提醒:
1.如您对书中其他题目和内容还有异议不解,请直接扫描下图临床实践技能过关宝典专用答疑系统提交反馈,老师给您答疑后,均有手机短信通知您,请识别二维码图片或直接点击这里,可随时提问。
2.正版课程报名和技术服务请联系深圳医顺教育官方正版客服QQ:800183671
|
技能过关宝典书籍页码 |
原文 |
勘误为 |
|
12页【例题】一、(一)1.(5) |
有无月经量收变 |
有无月经量改变 |
|
85页【题库4】二、1.④ |
心功能Ⅰ级 |
心功能Ⅱ级 |
|
100页【题库】二、1.② |
症状:饮酒后突发 |
症状:突发 |
|
127页二十、结核性腹膜炎 |
【助理不要求】 |
【助理要求】 |
|
158页二、异位妊娠【题库】病历摘要 |
左下腹剧烈疼痛 |
右下腹剧烈疼痛 |
|
222页一、肺炎 |
【助理要求】 |
【助理不要求】 |
|
225页五、3.③ |
先快后面 |
先快后慢 |
|
238页【题库1】实验室检查 |
ALT 45U/L |
ALT 425U/L |
|
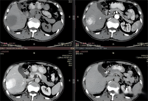
322页5题图片 |
原图 |
替换为此图
|
|
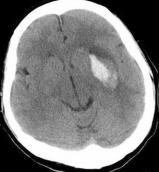
323页7题图片 |
原图 |
替换为此图
|
|
473页复习计划 第一站内容 |
病例分析 |
病例分析 |
微信
